
Friday we surpassed yet another milestone! The babies have been cooking for 7 months, which means we are now above the average gestational age for quintuplets. All of the babies were measured on Friday and they are all measuring within a day or two of the recommended size for babies at this point in pregnancy.
The picture below is a cool diagram that my sonographer drafted for us, which depicts where each of the babies are located in my belly, along with their current weights and percentiles.
The weight of each baby is estimated based on the length of the baby’s humerus (bone in upper arm) and femur (bone in upper leg), the circumference of their abdomen and their head circumference.

The biggest one in the bunch is Baby B at 2lbs and 12oz at the 62nd percentile. Little Elle Rose (Baby E) is the munchkin, but not by much as baby D and Theo (baby A) are also the same weight (2 ½ lbs) but just a bit longer. At this rate, when the baby’s are measured again at 32 weeks they will be about 1lb heavier each. Let’s just hope this Mama can keep up!


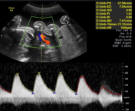
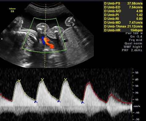
All of their organs (kidneys, bladders, hearts, brains, stomachs) look great and are also appropriate sizes. The blood flow to Elle has improved and has stabilized. All heart rates remain within normal limits, and are often on the higher side, which is probably because they just can’t sit still. We are truly excited to meet our little wiggle worms!


I am also doing well. It seems I am stretching by the day, but my body is adapting. Pregnancy is definitely a physical challenge, but the emotional, mental and spiritual journey that accompanies gestation is truly a blessing!



















